• 북마크

난치성 피부질환

백반증(Vitiligo)

14,252 2016.11.15 17:35

첨부파일

짧은주소

본문

백반증(Vitiligo) 

▶백반증(Vitiligo)이란?
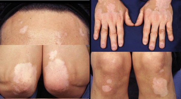
피부의 색소세포가 파괴되어 생기는 병으로  흰색의 반점이 피부에 생기는 후천적인 질환입니다. 인구의 약 1%에서 나타나는 흔한 질환입니다.

▶백반증의 증상:
백반증은 경계가 명확한 하얀 반점이 신체의 어느 부위에나 생길 수 있습니다. 하지만 주로 얼굴, 코 등 노출부위, 성기주위, 서혜부 등 접히는 부위, 화상 등으로 인한 상처부위 등에 잘 생기며 머리나 음부 등 모발이 있는 부위에 생길 때는 모발도 탈색이 됩니다. 가렵거나 불편한 것은 없지만, 손으로 긁거나 자극하면 주변으로 퍼질 수 있습니다.

▶백반증의 원인:
백반증의 정확한 원인은 밝혀져 있지 않으나 심리적인 스트레스, 정신적인 충격, 일광화상이나 사고나 수술 등의 물리적인 외상, 임신, 내부 장기 이상이나 기타 질병 후에 생기는 경우가 많습니다. 또한 전염성이 없고 유전되는 병은 아닙니다.

▶백반증이 있으면 어디 다른데도 아픈건 아닌지?
백반증은 피부의 다른 이상을 초래하지 않으며 단지 미용상의 문제가 될 뿐이며 전신건강에 특별한 영향을 주는 병은 아닙니다. 다만 아주 드물게 갑상선, 빈혈, 원형탈모증 등이 동반되는 경우가 있으므로 이런 경우에는 의사의 지시에 따라 같이 치료를 해 주어야 합니다.

▶백반증의 치료:
1) 바르는 약 도포:
과거에는 백반증 치료 목적으로 스테로이드를 장기간 발라서 여러 가지 문제가 이었습니다. 하지만, 최근에는 스테로이드를 장기간 바르지 않고 “프로토픽(토피크로)”라는 신약이 개발되어 바르는 약을 오랜 기간 도포하여도 부작용이 생기지 않습니다.
2) 자외선 치료:
병변의 범위가 넓은 경우 자외선(UVB)을 쪼이는 방법이 도움이 됩니다. 병원에 내원하셔서 311 nm 파장대의 UVB 광선치료를 주기적으로 하시는 게 좋습니다.
3) 자외선 레이저 치료:
최근에는 '자외선 레이저(팔라스, 308 nm UVB laser)'가 개발되어 백반증 환자들에게 도움이 되고 있습니다. 건강보험 급여 대상으로 백반증 병변부위에만 치료하기 때문에 정상피부에 불필요한 자외선을 쪼일 필요가 없고 효과도 좋습니다.  

 

댓글목록

등록된 댓글이 없습니다.