• 북마크

여드름클리닉

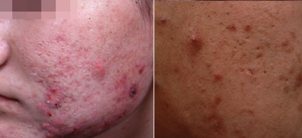
성인형 여드름

10,112 2016.11.16 21:51

첨부파일

짧은주소

본문

성인형 여드름

30대 이후 여성 직장인에 있어서 안면의 여드름 성 병변은 아주 신경 쓰이는 골치 거리로 많은 직장여성들이 이 문제를 가지고 피부과 외래를 찾는다.

실제로 보고에 따라 다르긴 하지만 일반적으로 20대 중반에서 30대 중반의 8% 정도, 30대 중반에서 40대 중반의 약 3%에서 여드름을 앓고 있거나 앓은 적이 있다는 보고가 있고, 특히 직장생활을 하는 여성들에 있어서 이러한 여드름은 매우 골치 아픈 문제가 아닐 수 없다. 이는 남성들이 대개 작은 피부 트러블에 대하여 신경을 쓰지 않는데 반하여, 매일매일 화장을 하며 대인관계를 해야 하는 직장여성들에 있어서 더욱더 신경 쓰이는 문제이기 때문에 대개 피부과 외래를 찾는 사람들도 이러한 30대 직장여성들이 대부분이다.

그러나 더욱 실망스러운 것은 이러한 성인에게서 생기는 사춘기 이후의 여드름이 대개 난치성이며 치료에 잘 반응하지 않는다는 것이다. 이러한 사춘기 이후에 있어서 여드름을 일으키는 원인은 믈론 일반적인 여드름의 원인과 비슷하나 특히 이 시기에는 사춘기에 비하여 스트레스, 화장품, 여드름균의 이상증식이 원인이 된다.

흔히 밤을 세거나, 과도한 스트레스를 받으면 얼굴의 여드름이나 기타 염증성 병변들이 심해지는 것을 누구나 한 번은 경험했을 것이다. 반대로 토요일날 충분히 숙면을 취하고 일요일날 아침에 늦게 일어나서 세수를 해 보면 유난히 피부가 고와진듯한 느낌을 가진 경험이 있을 것이다. 어떤 사람들은 스트레스는 만병의 원인이라고 말하는 이들도 있지만 특히 사춘기 이후에 있어서 여드름의 발병 및 악화는 스트레스와 매우 밀접한 관련이 있다.

또한 이시기에 있어서 여드름을 악화시키는 요인은 여성에 있어서 화장이다. 여드름의 관점에서 봤을 때 화장품은 크게 여드름을 유발하는 화장품(comedogenic cosmetics) 와 여드름 유발을 방지하는 화장품(non-comedogenic cosmetics) 로 나눌 수 있다.  여드름으로 고생하는 30대및 40대 여성들에 있어서 문제가 되는 것은 이러한 여드름 유발성 화장품 및 잘못된 화장습관이라고 하겠다. 

여드름 유발성 화장품은 그 성분에 있어서 기름성분을 많이 포함한 화장품으로 모공을 막고 피지분비를 억제하여 이러한 피지분비의 억제가 자연스럽게 여드름의 유발 및 악화와 직접적으로 관련이 있다.

또한, 이러한 여드름 유발성 화장품을 사용한다 하더라도 올바른 화장습관은 이러한 여드름의 악화를 방지할 수 있는데 특히 적절한 세안 및 클린싱이 필요하며, 가능하다면 피부과에 주기적으로 내원하여 피부치료를 받는 다면 매우 좋은 결과를 볼 것이다.

 

댓글목록

등록된 댓글이 없습니다.